Cabinet d'orthodontie à VERDUN
Dr FREMONT SONNET
ACCUEIL
LE CABINET
PLAN D'ACCÈS
URGENCES
VIDEOS
FICHES CONSEILS
CONTACT
6 avenue Albert 1er
55100
VERDUN
+33 3 29 86 38 70
Cabinet d'orthodontie à VERDUN
Dr FREMONT SONNET
ACCUEIL
LE CABINET
PLAN D'ACCÈS
URGENCES
VIDEOS
FICHES CONSEILS
CONTACT
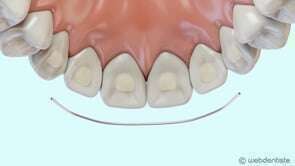
Fil de contention
Vidéos 3D
Partager
Twitter
Partager
Partager
Envoyer
Copier
Cabinet d'orthodontie à VERDUN
6 avenue Albert 1er
55100
VERDUN
+33 3 29 86 38 70
Liens
Politique de confidentialité et charte cookie
Mentions légales
Conditions Générales Utilisation
Charte déontologique
Ordre national
Annuaires chirurgiens dentistes
Coordonnées
Recherche
Rechercher dans le blog Blog
Création par
Connexion
Vidéo en cours de lecture